Bouton Flottant Appel Téléphonique
Cabinet des Docteurs François GALET & Charlotte GALET-COURTIN
Chirurgiens - dentistes
Accueil
Notre cabinet
Le cabinet
Accès
Urgences
Nos soins
Implantologie
Esthétique dentaire
Parodontologie
Dents de sagesse
L'orthodontie
Fiches Conseils
Vidéos
Implant dentaire
Traitement des gencives
Prothèses dentaires
Implants dentaires
Dentisterie esthétique
Contact et rdv
English
Questionnaire pré-RDV
Cabinet des Docteurs François GALET & Charlotte GALET-COURTIN
Chirurgiens - dentistes
11 avenue du Président John Fitzgerald Kennedy
59000
LILLE
+33 3 20 12 16 46
Accueil
Notre cabinet
Le cabinet
Accès
Urgences
Nos soins
Implantologie
Esthétique dentaire
Parodontologie
Dents de sagesse
L'orthodontie
Fiches Conseils
Vidéos
Implant dentaire
Traitement des gencives
Prothèses dentaires
Implants dentaires
Dentisterie esthétique
Contact et rdv
English
Questionnaire pré-RDV
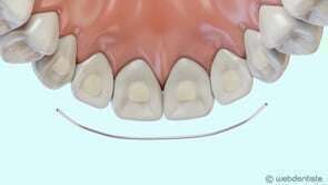
Fil de contention
Vidéos 3D
Partager
Twitter
Partager
Partager
Envoyer
Copier
Cabinet des Docteurs François GALET &
Charlotte GALET-COURTIN
+33 3 20 12 16 46
11 avenue du Président John Fitzgerald Kennedy 59000 LILLE
Politique de confidentialité et charte cookie
Mentions légales
Conditions Générales Utilisation
Charte déontologique
Ordre national
Annuaires chirurgiens dentistes
Hygiène & Asepsie
Honoraire & remboursement
Création par
Connexion